TFCC損傷
主な症状
手関節痛
解説
外傷、手関節の使いすぎ、年齢的な変化により手関節を回旋(ひねる動作)で手関節の特に小指側の痛みが生じる状態です。自分でひねるときにクリック音を来す人もいます。
治療方法
関西電力病院独自の縫合器具で鏡視下にTFCCの縫合が可能です。
縫合後は3週間上腕から指の根元までギプスを行いその後自動運動を3週間行います。術後6週間からリハビリを始めますが当院ではTFCCに手慣れた作業療法士(ハンドセラピー)の指導の下に行われます。リハビリとして平均約3ヶ月を要しています。(無理すると再断裂の恐れがあり、できるだけ当院の専門ハンドセラピーのもとリハビリを行うことをお勧めしています。)

手根管症候群
主な症状
母指から環指のしびれ
解説
手関節掌側にある屈筋支帯が肥厚し(多くは合はホルモンの影響もある)深層に走行している正中神経が圧迫される。悪化すると親指の付け根の筋肉が痩せてくる。
治療方法
診察と神経伝導速度を測定し、治療方針を決めます。軽度であれば投薬、注射が著効しますが、中程度以上では手術をお勧めします。日帰り手術で手術そのものは15分程度で終わります。
局所麻酔で鏡視下手根管開放を行っています。
(創は手首に一箇所のみです)
キーンベック病
主な症状
手関節痛
解説
誘因無く手関節が痛く力が入りにくくなる。XPで月状骨が破壊されてくる病気です。原因はわかりませんが、老人以外は進行してくることが多く積極的な治療が必要です。
治療方法
XP,MRIで病期を決定します。早期で橈骨が尺骨に比べて長い場合は橈骨短縮骨切り術、そうでない場合は当科では血管柄付き骨移植術を行っています。治療成績は非常に良好です。
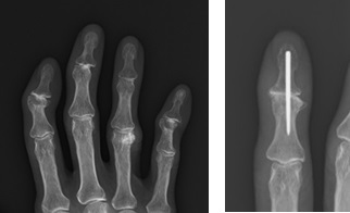
慢性関節リウマチ
主な症状
全身の関節痛
解説
熱が出て全身にくる場合と上肢特に手指の腫れ(第2関節、その手前のMP関節)で慢性関節リウマチと診断される場合がある。
治療方法
まず、診察と血液検査で診断し、MTXという免疫抑制剤を内服し、全身的にリウマチの活動を抑える。それでも改善しない場合は最近では生物学的製剤を導入することで寛解にもっていくことが可能になりつつある。関節破壊を食い止めることも可能になってきている。当科では専門医が2名常勤している。それでも手関節、小関節の滑膜増生は押さえきらず、その場合は関節鏡で滑膜切除を行っている。


